Vida natural
El ictus, una emergencia sanitaria tiempo dependiente
El ictus (del latín ictus: «choque», «ataque» o «impulso») o accidente cerebrovascular (ACV), antaño llamado “apoplejía”, es la aparición repentina de un déficit neurológico causado por un problema vascular. No es que sea un mal típico de nuestro Parque; se produce como en todos los sitios, pero lo traemos porque se trata de una emergencia muy tiempo dependiente: cuanto menos se tarde en actuar, se salvarán más vidas y se evitarán o minimizarán consecuencias posteriores. Cada minuto cuenta y aquí, como sabemos, según épocas del año, lugares o momentos, es frecuente que las ambulancias tarden en llegar más tiempo de lo deseado y no siempre estén dotadas de los medios de soporte vital avanzado.
Se trata de una pérdida súbita de funciones cerebrales debido a una interrupción del flujo sanguíneo (isquemia) o a una hemorragia (también conocida como derrame cerebral) en el cerebro. Las causas más frecuentes incluyen la formación de coágulos dentro de las arterias cerebrales, la aterosclerosis (acumulación de grasa y placas en los vasos sanguíneos), émbolos que viajan desde el corazón o las arterias extracerebrales, alteraciones del ritmo cardíaco, disminución del flujo sanguíneo cerebral o rotura de algún vaso del cerebro que produce una falta de oxígeno en la zona.
En la zona afectada, las células nerviosas comienzan a morir en cuestión de minutos y, a diferencia de otros tejidos del cuerpo, el cerebro no se regenera. El cerebro tiene unas horas durante las cuales aguanta la agresión activando mecanismos de compensación, pero, si se superan, se produce la muerte irreversible de las células afectadas. Cada área del cerebro controla funciones específicas; cuando una región muere, las funciones que dependían de ella se pierden parcial o totalmente, con lo cual van a quedar secuelas, algunas permanentes, en función de la zona cerebral afectada, la intensidad y la duración del ictus, que afectan a la movilidad, la comunicación, la cognición y el estado emocional, pudiendo producirse la muerte del individuo. De ahí la necesidad del tratamiento precoz y la importancia de que, ante la mínima sospecha, se busque ayuda médica inmediatamente, ya que no se sabe cuánto tiempo puede aguantar ese cerebro. Los resultados de esta patología dependen también de la zona geográfica en que sucede, ya que, desgraciadamente, no todas están cercanas a los hospitales ni dotadas de los servicios sanitarios óptimos, y las poblaciones de nuestro Parque no están en la mejor situación.
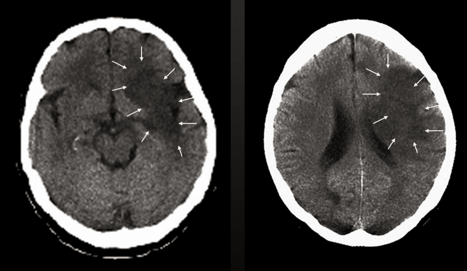
Foto: Infarto cerebral © JMJH
Otras formas
Existen otras formas más leves de ictus, como el accidente isquémico transitorio (TIA o AIT), una interrupción temporal del riego cerebral que revierte espontáneamente sin dejar secuelas, pero no hay que quitarle importancia, porque pueden ser avisos de problemas mayores. Aunque se pase, hay que acudir al médico cuanto antes.
Cómo reconocerlo
Las manifestaciones del ictus van a depender del lugar afectado y de la duración. Puede haber movimientos extraños de la cabeza o de un lado del cuerpo, hormigueo o debilidad muscular, mareos y pérdida del equilibrio; dificultad para hablar, leer o entender lo que se le dice; déficit de memoria y atención, alteración de la visión. En casos más graves, pérdida de la conciencia. Puede haber un dolor de cabeza intenso y súbito, pero su ausencia no significa que no haya ictus.
Actuación
Lo primero es comprobar que no haya síntomas de problemas vitales: que esté consciente y respire con normalidad… (Véase https://cabodegata.net/19-vida-natural-que-hacer-ante-un-accidente-eco-del-parque-no24/).
Ante cualquiera de los signos mencionados, o ante la sospecha, hay que buscar atención sanitaria inmediata. Una persona llama al 112 o 061 y otra atiende a la víctima. Las primeras horas son vitales.
Si la persona afectada está consciente, se podrá confirmar el problema valorándola: se le pide que se levante y se siente, que sonría o que enseñe los dientes y que saque la lengua; en caso de ictus, la boca estará torcida y la lengua se va a un lado. Que levante ambas extremidades a la vez. Comprobar si existe disminución de la fuerza en un lado del cuerpo («apriéteme las manos»), alteración de la sensibilidad o si se le caen las cosas. Hacerle alguna pregunta sencilla para ver si hay incoherencia en el habla o repite siempre la misma frase. Observar si tiene un estado mental o emocional similar al de la embriaguez.
Comunicar a emergencias todos los hallazgos detalladamente, la hora de comienzo y si fue repentino.
¿Qué hacer?
Mientras llegan los servicios de emergencia, si el afectado está consciente, colocarlo en posición semisentada, aflojar la ropa, procurar un ambiente relajado, sin ruidos ni luces y ssin generar estrés. Valorar la cercanía a un hospital para proceder al traslado si se tiene la certeza de que la ambulancia tardará en llegar más que nosotros al hospital, aunque es aconsejable esperarla, ya que podrá comenzar el tratamiento in situ si es de soporte vital avanzado y, en todo caso, proceder a la estabilización y sabrán dónde llevar al paciente, ya que no todos los hospitales están dotados de unidad de ictus.
Si el paciente pierde la conciencia y respira, colocarlo en posición lateral; si no respira, comenzar maniobras de RCP y volver a llamar al 112 o 061 para informar de que la persona está en parada cardiorrespiratoria.
En ningún caso dar de comer ni beber ni administrar medicación. Si presenta convulsiones, no sujetar; proteger la cabeza para que no se haga daño.
El tratamiento del ictus inicialmente es hospitalario, aunque puede comenzar a hacerse en las ambulancias si están dotadas del personal adecuado. Se basa en intentar disolver o eliminar los coágulos mediante medicamentos fibrinolíticos o procedimientos mínimamente invasivos, o intervenciones para detener las hemorragias, reducir la presión arterial y la presión intracraneal.
Tras la fase aguda, es fundamental la rehabilitación física, ocupacional y del habla para maximizar la recuperación, la cual puede durar mucho tiempo y, en no pocos casos, deja secuelas permanentes.
Foto: Método FAS para detección de ictus © JMJH
Prevención
Siendo capaces de controlar los factores de riesgo, se podría evitar un gran porcentaje de ictus, para lo que tiene mucha importancia actitudes saludables o, lo que es casi lo mismo, una vida más natural. Juega un papel muy importante una alimentación sana, aumentando el consumo de frutas y verduras y disminuyendo la ingesta de sal, grasas saturadas y grasas trans. Evitar alcohol, tabaco y exposición al humo. Hacer ejercicio frecuentemente, como mínimo caminar una hora al día. Intentar reducir nervios y estrés. Controlar la tensión arterial, el colesterol y la glucemia. Consultar al personal sanitario si hay palpitaciones, algún tipo de arritmia u otros riesgos.
Juan Manuel Jerez
EL PARQUE
Noticias
Conoce el Parque
Fotografías
Patrocinadores
CONTACTAR
Hazte socio/a
Formulario de contacto